허리 통증과 뻣뻣함
엉덩이 및
다리 저림과 통증
허리 뒤로 젖힐 시
심한 통증
다리 감각 둔화
및 가늘어짐
보행의 어려움
다리 전체 힘 빠짐
선천적으로 좁은 척추관
노화로 인한
퇴행성 변화
척추 주변 인대의
신경 압박
척추전방위증에
의한 협착
허리디스크 vs 척추관협착증
자생치료법

추나요법
협착으로 좁아진 척추 공간을 바로잡는 수기치료

신바로약침·봉침
신경 압박으로 인한 염증과 통증을 줄이는 약침치료

동작침
보행장애와 저림 증상을 완화하는 기능 중심 침치료

신경근회복술
협착으로 약해진 신경과 근육을 되살리는 특화치료

신바로한약
협착으로 인해 손상된 신경의 회복을 돕는 처방한약
척추관협착증 자생 치료 효과
자생의 비수술 치료는 수술 치료와 비교해 통증 및 기능 개선에서 큰 차이가 없었으며, 통증 완화와 장기 효과면에서 우수한 것으로 나타났습니다.
자생입원집중치료,
통증 감소 및 장기적 효과 유지 입증
치료 후 허리 통증 개선 및
3년 후에도 호전 유지
치료 후 다리 통증 개선 및
3년 후에도 호전 유지
치료 후 허리 기능 호전 및
3년 후에도 호전 유지
치료 3년 후에도
환자 92.5%가 '호전'되었다고 응답
치료 3년 후에도
환자 89.4%가 '만족'했다고 응답
자생 청파전H 한약,
통증 감소 및 운동능력 회복 효과 입증
청파전H 투여 후, 척수 조직 내
염증성 물질 및 통증 감소
청파전H 투여 후, 척추관협착증으로 떨어진
보행 기능 정상에 가깝게 회복
신바로약침, 일반 약침보다
빠른 통증 감소 효과 확인
신바로약침 투여 후,
염증 물질 및 통증 감소 확인
신바로약침 투여 후,
척추관협착증으로 떨어진 보행 능력 회복
신바로약침 투여 후,
척추관협착증으로 떨어진 감각 이상 개선
자생 신바로 2약침,
통증 감소 및 척수 회복 효과 입증
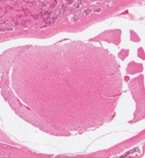
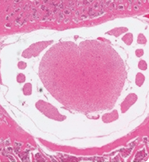
정상 쥐
척추관협착증 유도 쥐
신바로2 약침 투여 쥐
신바로약침 투여 시, 손상된 척추관 및
척수 형태가 정상에 가깝게 회복
자생의 임상연구
동작침, 진통제 대비 5배 빠른 효과
급성 허리디스크 통증 감소 효과 입증
급성 디스크로 걷지 못하는 응급 환자에게
동작침 치료 시, 치료 30분만에 통증 46% 감소
자생의 임상연구
신바로약침 투여 10일 기점,
운동능력 크게 개선
쳇바퀴 움직임 관찰 검사 결과,
신바로2 투여 10일 후 운동 능력 개선
Before
After
하지 저림과 통증이 개선되어서 일상생활이 너무 즐겁습니다.
2024.08.12 ~ 2025.02.26
Before
After
좌측 허리 통증으로 허리를 반듯이 펴고 서있기 힘들어 내원하셨습니다.
2024.08.12 ~ 2025.02.26
발병 전만큼 좋아져서 완치되었다는 마지막 진료를 받고 이번주 수요일 기분 좋게 병원을 퇴원 했습니다. 감사합니다.
발병 전만큼 좋아져서 완치되었다는 마지막 진료를 받고 이번주 수요일 기분 좋게 병원을 퇴원 했습니다. 감사합니다. 발병 전만큼 좋아져서 완치되었다는 마지막 진료를 받고 이번주 수요일 기분 좋게 병원을 퇴원 했습니다. 감사합니다. 발병 전만큼 좋아져서 완치되었다는 마지막 진료를 받고 이번주 수요일 기분 좋게 병원을 퇴원 했습니다. 감사합니다. 발병 전만큼 좋아져서 완치되었다는 마지막 진료를 받고 이번주 수요일 기분 좋게 병원을 퇴원 했습니다. 감사합니다. 발병 전만큼 좋아져서 완치되었다는 마지막 진료를 받고 이번주 수요일 기분 좋게 병원을 퇴원 했습니다. 감사합니다. 발병 전만큼 좋아져서 완치되었다는 마지막 진료를 받고 이번주 수요일 기분 좋게 병원을 퇴원 했습니다. 감사합니다.
발병 전만큼 좋아져서 완치되었다는 마지막 진료를 받고 이번주 수요일 기분 좋게 병원을 나섭니다. 항상 애써주신 원장님과 도수 발병 전만큼 좋아져서 완치되었다는 마지막 진료를 받고 이번주 수요일 기분 좋게 병원을 나섭니다. 항상 애써주신 원장님과 도수 발병 전만큼 좋아져서 완치되었다는 마지막 진료를 받고 이번주 수요일 기분 좋게 병원을 나섭니다.
발병 전만큼 좋아져서 완치되었다는 마지막 진료를 받고 이번주 수요일 기분 좋게 병원을 퇴원 했습니다. 감사합니다. 발병 전만큼 좋아져서 완치되었다는 마지막 진료를 받고 이번주 수요일 기분 좋게 병원을 퇴원 했습니다. 감사합니다. 발병 전만큼 좋아져서 완치되었다는 마지막 진료를 받고 이번주 수요일 기분 좋게 병원을 퇴원 했습니다. 감사합니다. 발병 전만큼 좋아져서 완치되었다는 마지막 진료를 받고 이번주 수요일 기분 좋게 병원을 퇴원 했습니다. 감사합니다. 발병 전만큼 좋아져서 완치되었다는 마지막 진료를 받고 이번주 수요일 기분 좋게 병원을 퇴원 했습니다. 감사합니다. 발병 전만큼 좋아져서 완치되었다는 마지막 진료를 받고 이번주 수요일 기분 좋게 병원을 퇴원 했습니다. 감사합니다.
발병 전만큼 좋아져서 완치되었다는 마지막 진료를 받고 이번주 수요일 기분 좋게 병원을 나섭니다. 항상 애써주신 원장님과 도수 발병 전만큼 좋아져서 완치되었다는 마지막 진료를 받고 이번주 수요일 기분 좋게 병원을 나섭니다. 항상 애써주신 원장님과 도수 발병 전만큼 좋아져서 완치되었다는 마지막 진료를 받고 이번주 수요일 기분 좋게 병원을 나섭니다.
치료기간

염좌/경증 디스크1~2주 이내
조직 손상이 적은 단순 염좌 및 경증 디스크에 대한 1~2주 내 통증 완화 목표 치료

일반 디스크2~3주 이내
2~3주 내 통증 감소 후 손상 조직 회복과 강화를 위한 단계별 치료

중증 디스크2개월 이내
광범위한 조직 손상에 따른 일정 기간 이상 치료 및 2개월 내 일상 복귀 목표 치료

협착증, 퇴행성디스크 등 중증 척추 질환2개월 이상
일상생활에 지장 없는 통증 수준 유지를 위한 집중 치료 후 지속적인 관찰 치료
건강가이드
더보기건강정보
자생TV보니
내 주변 자생
경기 수원시 영통구 봉영로 1587 다모아프라자 10층, 9층, 4층 406호
영통역 8번 출구에서 185m